Adana'nın merkez Seyhan ilçesinde evinin önünde oynarken sırtına yorgun mermi isabet etmesi sonucu yaralanan 6 yaşındaki kız çocuğu hastaneye kaldırıldı.
Aydınlar Mahallesi'nde Canan ve Deniz Ergün çiftinin iki çocuğundan 6 yaşındaki Meliha Beray Ergün, 28 Temmuz 2023 günü evlerinin bulunduğu sitenin bahçesinde oynarken bir anda çığlık atıp yere düştü.

Ergün çifti, demir batması sonucu sırtından yaralandığını düşündükleri kızlarını Adana Şehir Eğitim ve Araştırma Hastanesi'ne götürdü.
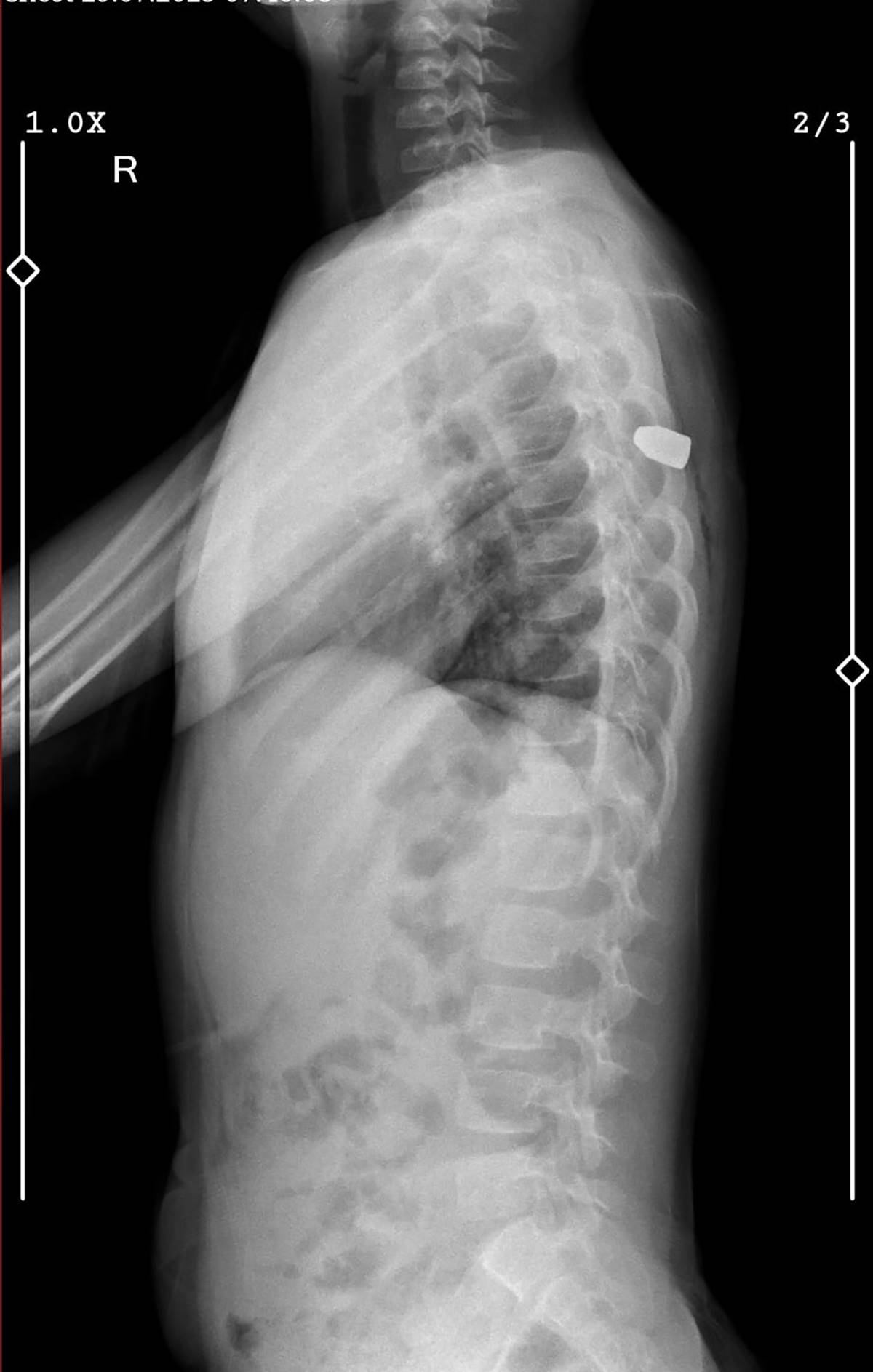
Hastanede röntgeni çekilen çocuğun sırtına mermi isabet ettiği belirlendi. Sırtındaki mermi ameliyatla çıkarılan çocuk daha sonra serviste gözetime alındı.

"BİR BÖCEK TARAFINDAN ISIRILDIĞINI DÜŞÜNÜYOR"
Anne Canan Ergün, gazetecilere, kızının arkadaşlarıyla oynadığı sırada yaralandığını belirterek, hastaneye gittiklerinde sırtına yorgun mermi isabet ettiğini öğrendiklerinde duruma inanamadıklarını söyledi.
Evlerinin bulunduğu bölgede sürekli silah sesi duyduklarını anlatan Ergün, sorumluların tespit edilmesini ve gerekli cezayı almalarını istedi.

Ergün, yaşadıkları olaydan sonra komşularının da çocuklarını site bahçesine indirmeye çekindiğini aktararak, şunları kaydetti:
"Kızımın çok şükür hayati tehlikesi yok ama korkuyor. Bir böcek tarafından ısırıldığını düşünüyor. Yaralanmasına neden olan şeyin bir kurşun olduğunu şu an bilmiyor.
O daha çok küçük bir çocuk. Artık nasıl güvenle aşağıya inip oyun oynayacağını ve sosyal hayata adapte olacağını bilemiyoruz. Yetkili olmayan insanlar silah kullanmasınlar.
Bir kutlama yaparken silah kullanmasınlar. Benzer olayları duyduğumuzda üzülürdük ama bizim başımıza da aynı olay geldi. Allah kimseye evlat acısı göstermesin."

