Son yıllarda yapılan fMRI (fonksiyonel manyetik rezonans görüntüleme) ve diğer beyin görüntüleme çalışmaları, kronik yalnızlık yaşayan bireylerin beyinlerinde belirgin farklılıklar olduğunu gösteriyor.

Özellikle:
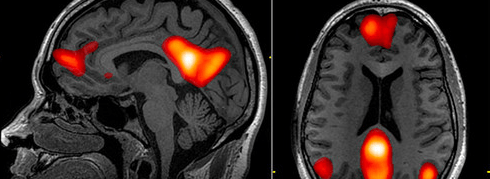
Varsayılan Mod Ağı (Default Mode Network - DMN) Aktivitesi: Yalnızlık hisseden bireylerde, beynin içe dönük düşünceler ve kendini yansıtma ile ilişkilendirilen Varsayılan Mod Ağı'nın (DMN) daha aktif olduğu gözlemleniyor. Bu durum, yalnız kişilerin geçmiş anıları düşünmeye veya geleceği hayal etmeye daha fazla zaman harcadıklarını, ancak sosyal etkileşimlere daha az odaklandıklarını gösteriyor.
Sosyal Biliş Bölgelerindeki Değişimler: Yalnızlık, beynin sosyal etkileşimleri işlemleme ve başkalarıyla empati kurma ile ilgili bölgelerinde (örneğin temporal parietal kavşak) farklılıklar yaratabilir. Bu da yalnızlık döngüsünü pekiştiren bir etkiye sahip olabilir.
Stres Yanıtı ve Amigdala: Kronik yalnızlık, beynin tehditleri işleyen ve korku yanıtını tetikleyen amigdala bölgesinin daha aktif olmasına neden olabilir. Bu durum, yalnız bireylerin sosyal durumlara karşı daha yüksek stres tepkileri vermesine ve daha kaygılı hissetmesine yol açabilir. Sürekli yüksek stres seviyeleri, kortizol gibi hormonların kronik olarak yükselmesine ve beyin sağlığını olumsuz etkilemesine neden olabilir.
KRONİK YALNIZLIĞIN SAĞLIK ÜZERİNDEKİ ETKİLERİ

Yalnızlığın beyin üzerindeki bu yapısal ve fonksiyonel değişiklikleri, genel sağlık durumumuz üzerinde de domino etkisi yaratıyor:
Artan Depresyon ve Anksiyete Riski: Yalnızlık, depresyon ve anksiyete bozukluklarının en güçlü öngörücülerinden biri olarak kabul ediliyor. Beyindeki kimyasal dengesizlikler ve sürekli stres hali, ruhsal sağlık sorunlarının ortaya çıkışını kolaylaştırıyor.
Kardiyovasküler Hastalıklar: Bilimsel çalışmalar, kronik yalnızlığın yüksek tansiyon, kalp krizi ve felç riskini artırdığını gösteriyor. Yalnızlık, sigara içmek veya obezite kadar ciddi bir risk faktörü olarak değerlendiriliyor.
Demans ve Bilişsel Gerileme: Sosyal izolasyon, bilişsel gerileme ve demans riskini artırabilir. Sosyal etkileşimlerin azalması, beynin bilişsel fonksiyonlarını canlı tutan uyarıcıların eksikliğine yol açabilir.
Bağışıklık Sistemi Zayıflığı: Yalnızlık, bağışıklık sisteminin etkinliğini azaltarak bireyleri enfeksiyonlara ve hastalıklara karşı daha savunmasız hale getirebilir.
YALNIZLIKLA MÜCADELE VE BEYİN SAĞLIĞI İÇİN ÖNERİLER
Bilimsel veriler, yalnızlığın ciddiyetini vurgulasa da bu durum geri döndürülemez değildir. Yalnızlıkla mücadele etmek ve beyin sağlığını desteklemek için atılabilecek bazı adımlar şunlardır:
Sosyal Bağlantıları Güçlendirmek: Mevcut ilişkilerinizi besleyin ve yeni sosyal gruplara katılın. Hobiler edinmek, gönüllülük faaliyetlerinde bulunmak veya topluluk etkinliklerine katılmak, yeni insanlarla tanışmanın yollarını açar.
Empati Geliştirmek: Başkalarına karşı empati kurmak ve aktif dinleme pratiği yapmak, sosyal etkileşimlerinizin kalitesini artırır.
Dijital Bağlantıyı Sağlıklı Yönetmek: Sosyal medya, yalnızlık hissini azaltmak yerine pekiştirebilir. Gerçek dünya etkileşimlerine öncelik vermek önemlidir.
Profesyonel Destek Almak: Kronik yalnızlık ve beraberindeki mental sağlık sorunları için bir uzmandan (psikolog, psikiyatrist) yardım almak önemlidir.
