Sivas Cumhuriyet Üniversitesi Diş Hekimliği Fakültesi’nden Prof. Dr. İhsan Hubbezoğlu, Türkiye’de yaygın şekilde uygulanan implant tedavisine alternatif olabilecek yeni bir yöntem geliştirdi. Çene yapısına uymadığı için enfeksiyon ve kırılmalara yol açabilen implantlar nedeniyle mağdur olan çok sayıda hasta, bu yeni teknik sayesinde dişlerini kaybetmeden sağlığına kavuşuyor. Hubbezoğlu’nun geliştirdiği “Cam Fiber Post” ve üzerine uygulanan “Direkt Kompozit Lamina” yöntemi, tedavi süresini aylarca değil sadece dört seansa indiriyor.

DEPREMDEN ETKİLENDİ YENİ YÖNTEM BULDU
Kahramanmaraş merkezli depremlerde fiberle güçlendirilen binaları inceleyen Hubbezoğlu, aynı teknolojiden esinlenerek sağlam kaldığı sürece diş köklerinin de yeniden yapılandırılabileceğini keşfetti. Bu buluş bugün, yüzlerce hastayı implant zorunluluğundan kurtaran bir tedaviye dönüştü.
İMPLANTIN RİSKLERİNE KARŞI DOĞAL DOKUYU KORUYAN ÇÖZÜM
İmplant tedavileri birçok hastayı sağlığına kavuştururken bazı durumlarda enfeksiyon, kırılma, çene uyumsuzluğu gibi ciddi sorunlara yol açabiliyor. Bazı hastalar ise taktırdıkları implantları kısa süre içinde çıkarmak zorunda kalıyor. Bu tablo karşısında çözüm arayan Prof. Dr. Hubbezoğlu, iki yıl boyunca yürüttüğü çalışmalar sonucunda implantı minimuma indiren yeni bir sistem geliştirdi.
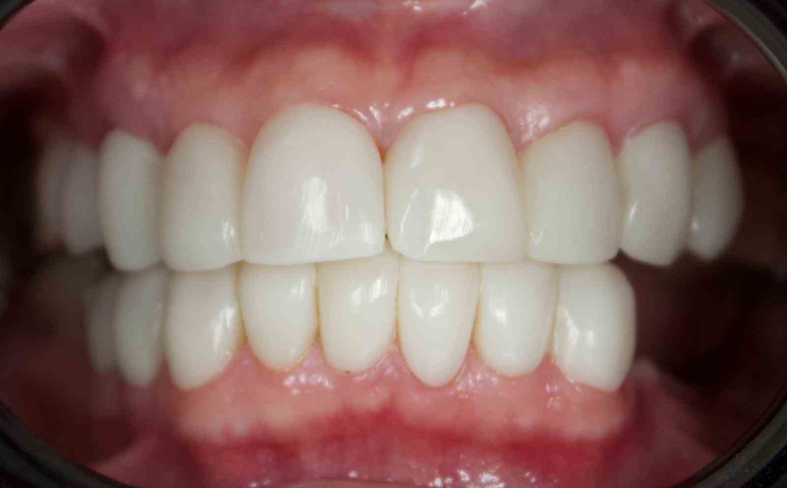
Diş kökü yerinde duruyorsa, üzerine özel cam fiber post yerleştiriliyor ve implant yerine doğal yapıya entegre edilen bu fiber destek çok daha sağlam bir temel oluşturuyor. Ardından doğrudan kompozit lamina ile estetik bir yüzey hazırlanıyor. Üstelik tüm süreçte anestezi kullanılmıyor ve işlem sadece birkaç gün içinde tamamlanıyor.

“KLİNİK BİR VAKAYDIM, AYNALARA BAKAMIYORDUM”
Almanya’da çözüm bulamayan ve Sivas’a başvuran Fatma Hizmetli Okumuş, yeni yöntemle kısa sürede sağlığına kavuşan hastalardan biri. “İmplant ve zirkonyum düşünürken İhsan hocam bana çok daha doğal bir yöntem önerdi. Aylarca sürecek bir tedaviden sadece birkaç günde çıktım. Çürüklerim kapatıldı, estetik laminalar yapıldı, sadece kökü kalan iki dişime de yeni diş oluşturuldu” diyen Okumuş, işlem sırasında hiçbir ağrı ya da acı hissetmediğini belirtip memnuniyetini paylaştı.
5 HASTADAN 4’ÜNE UYGULANABİLİYOR
Prof. Dr. İhsan Hubbezoğlu, yöntemin klasik kompozit uygulamalardan tamamen farklı olduğuna dikkat çekiyor:
“Doğal dişleri korumayı öncelik edindik. Dişleri kesmeden, sadece minimum aşındırma ile çalışıyoruz. Önceden direkt kompozit lamina çok sınırlı bir gruba uygulanabiliyordu. Artık gördüğümüz her 5 hastanın 4’üne bu yöntemi güvenle uygulayabiliyoruz.”
Bugüne kadar cam fiber uygulaması yapılan 280 vakadan hiçbirinde kırılma görülmediğini belirten Hubbezoğlu, toplamda 1.800’den fazla hastada direkt kompozit lamina tasarımı yaptığını söyledi.

AYLARCA SÜREN TEDAVİ, ARTIK 4 SEANSTA BİTİYOR
Tedavinin temelinde doğru materyal seçiminin bulunduğunu vurgulayan Hubbezoğlu, uzun süren testler sonucunda en kaliteli kompozit, yapıştırıcı, polisaj sistemi ve el aletlerinin belirlendiğini anlattı. Tüm tasarım tamamen el işçiliğiyle yapılıyor, laboratuvar veya teknisyen kullanılmıyor.
Dişlerdeki 15–20 derecelik eğimler bile düzeltiliyor; çürükler temizlenip dişin doğal formuna uygun şekilde yeniden yapılandırılıyor. Üst ve alt dişler iki seansta tamamlanarak toplamda dört seansta tüm işlem bitiyor.
DEPREMDEN ESİNLENEREK GELİŞEN TEKNİKTE 280 VAKADA SIFIR KIRILMA
Hataylı olan ve depremde iki dayısını kaybeden Prof. Dr. Hubbezoğlu, binaların fiberle güçlendirildiğini gördükten sonra aynı dayanıklılığı diş köklerinde uygulamaya karar verdiğini belirtti:
“Doğal dokuyu korumak istiyoruz. Diş çekilmesin, implant son çare olsun. Kök olduğu sürece cam fiber post ile dişi kurtarıyoruz. Hasta aynı gün normal şekilde yemek yemeye başlıyor.”
Bu yöntem sayesinde hem implant bağımlılığı azalıyor hem de hastalar kendi diş köklerini koruyarak sağlıklı, estetik ve uzun ömürlü bir gülüşe sahip oluyor.
