İstanbul'da Daha önce hiçbir sağlık sorunu olmayan 41 yaşındaki Mustafa Turan, birkaç hafta önce arkadaşlarıyla ayak üstü sohbet ederken, "Göğsümde yırtılırcasına bir ağrı başladı" diyerek fenalaştı ve hastanenin acil servisine kaldırıldı. Kalp ekosu çekildi çeşitli tahliller yapıldı ancak her şey normal görünüyordu.
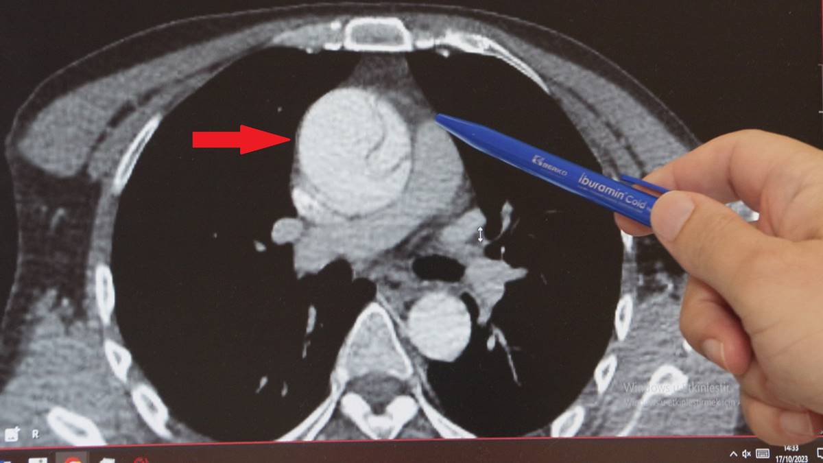
Ağrılarının midesinden olabileceği düşünüldü ve gerekli tedavileri verilip taburcu edildi. Şiddetli ağrıları ertesi gün de devam eden Mustafa Turan, saat 02.00 sularında Göztepe Süleyman Yalçın Şehir Hastanesi acil servisine başvurdu. Acildeki doktorun şüphelenmesi üzerine tekrar EKO çekildi, abdominal aort anevrizması (AAA) nedeniyle karın bölgesinden geçen aort damarında yırtık olduğu tespit edildi.
Normalde 2 santim çapında olması gereken aort damarı anevrizma (balonlaşma) nedeniyle genişleyerek neredeyse 3 katına ulaşmış, damar duvarında yırtığa neden olmuştu. Hayati riski olduğu anlaşılan Mustafa Turan, kalp damar cerrahisi ekibi tarafından acilen ameliyata alındı.

"ACİLDEKİ DOKTORUN DİKKATİ SAYESİNDE KURTULDU"
Göztepe Süleyman Yalçın Şehir Hastanesi Kalp Damar Cerrahisi Klinik Şefi Prof. Dr. Ebuzer Aydın, şöyle konuştu:
"Arkadaşlarıyla konuşurken böyle bir boğazında düğümlenme şikayeti oluyor. Bunun üzerine ambulansla acile geliyor. Tetkikleri yapılıyor, daha çok mide şikayetleri düşünülerek o yönde tetkikler yapılıyor ve tedavisi verilip gönderiliyor. Ağrıları geçmeyince tekrar acile geliyor, acildeki doktor arkadaşlarımızın dikkati ve özeni sayesinde ayrıntılı tetkik yapılıyor ve bu sırada aort diseksiyonu olduğu görülüyor. Bize konsülte edildi ve hızlı bir şekilde ameliyathanemizi ayarladık, acilen ameliyata aldık."
YIRTIK MEYDANA GELİRSE HER SAAT ÖLÜM RİSKİ ARTIYOR
Aort anevrizmasının çoğunlukla sessiz ilerlediğini kaydeden Prof. Dr. Ebuzer Aydın, genellikle başka tetkikler yapılırken tesadüfen teşhis edilen hastalıkta en önemli şeyin, aort damarında yırtık meydana geldikten sonra kaybedilen her 1 saat için ölüm riskinin yüzde 1 artması olduğunu vurguladı ve şu bilgileri paylaştı:
"Acil ameliyatla, elektif (planlı) ameliyat arasında ölüm riski açısından, ameliyattaki diğer riskler ve hastaya getirdiği başka tehlikeler açısından çok ciddi farklar var. Her 1 saat için ölüm riski yüzde 1 artar. Bu hastalar çoğunlukla kanama ve getirdiği bir takım diğer komplikasyonlarla kaybedilir. Planlı ameliyatlarda ölüm riski yaklaşık yüzde 5 iken diseksiyon meydana geldiğinde bu risk yüzde 20-25'lere kadar çıkabiliyor. Yani planlı bir anevrizma ameliyatı ile diseksiyon ameliyatı arasında 4-5 kat fark var."

AİLEDE GENÇ YAŞTA ANİ ÖLÜMLER VARSA DİKKAT
Planlı ameliyatlar, takip edilen veya anevrizması tesadüfen yırtılmadan önce tespit edilebilen hastalara yapılabiliyor. Aort anevrizmasının genç yaşlarda da görülebildiğini kaydeden Prof. Dr. Ebuzer Aydın, risk grubundakilerin basit bir batın (karın) ultrasonu ile taranabileceğini belirtti.
Prof. Dr. Ebuzer Aydın, konuyla ilgili şunları söyledi:
"Burada aile öyküsü önemli. Örneğin hastamızın dayılarında erken yaşta kalple ilgili vefatlar var ama sebepleri bilinmiyor. Çünkü köyde yaşadıkları için araştırılmamış. Eğer ailede 40'lı 50'li kalp kaynaklı ani ölümler varsa; bu hastalarımızın hem kalp damar hastalıkları açısından hem de aort anevrizması ve diseksiyonu gibi hastalıklar açısından daha dikkatli olması, bununla ilgili tetkiklerini yaptırması gerekiyor. Diseksiyon, özellikle kontrolsüz hipertansiyon hastalarında çok yüksek oranda görülüyor. Ülkemizde de tansiyon hastalarımız maalesef ilaçlarını düzenli kullanmadıkları için diseksiyon riskimiz bence gelişmiş ülkelerdekine göre çok daha yüksek."
"BASİT BİR ULTRASONLA TESPİT EDİLEBİLİR"
Özellikle 65 yaş üstü erkekler, kolesterol, tansiyon gibi başka ek hastalıkları da varsa aort anevrizması açısından daha yüksek risk taşıyor. İngiltere'de 65 yaşını dolduran her erkeğe rutin olarak batın ultrasonuyla abdominal anevrizma taraması yapıldığını da vurgulayan Prof. Dr. Ebuzer Aydın, şöyle konuştu:
"İngiltere ulusal sağlık sisteminin verilerine göre 65 yaş üstü erkeklerin sigara yasaklarından önceki rutin taramalarında aort anevrizma riski yüzde 8 olarak belirleniyor. Sigara yasaklarından sonra ise bu oranın yüzde 3'e gerilediği görülüyor. Yani sigara, abdominal aort anevrizması için değiştirebileceğimiz sebeplerin başında geliyor.
Genetik sebepleri değiştirme imkânımız yok, erken tanıyla bunları tedavi edebiliriz ama değiştirebileceğimiz sebepler tansiyon, kronik obstrüktif akciğer hastalığı dediğimiz KOAH, sigara, yüksek kolesterol, bu hastalıklar kontrol altında olursa anevrizma diseksiyonundan hastalarımızı korumuş oluruz."

ARKADAŞLARIYLA SOHBETTEYKEN KENDİNİ AMELİYATHANEDE BULDU
Arkadaşlarıyla ayaküstü sohbet ederken 24 saat içinde kendini ameliyat masasında bulan Mustafa Turan ise yaşadıklarını şöyle özetledi:
"Akşam 5 sularında birden nefes alırken bütün organlarım patlayacak gibi hissettim. Yumru gibi bir şey girdi göğsüme, soğuk ter boşaldı. Eve gittim ama o acı hiç kesilmedi. Ambulansı aradık acile geldik. Gece 03.00'e kadar bütün işlemler yapıldı ama herhangi bir teşhis konulamadı, ilaç verilip eve gönderildim.
24 saat içinde ağrı geçmediği için tekrar acile başvuru yaptım ve ikinci defa EKO çekilince hastalık tespit edildi. Acil bir şekilde ameliyata girmem gerektiği söylendi. 40 yol boyunca ne kalp ne tansiyon, hiçbir hastalık yaşamadım. İlk kez ambulansla acile geldim, buralara kadar ilerlemiş bir hastalıkla karşılaştım."
