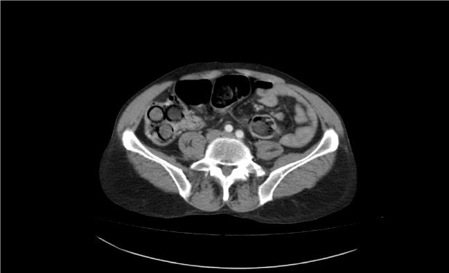
İl Emniyet Müdürlüğü Narkotik Suçlarla Mücadele Şubesi ekipleri, İran'dan Adana Havalimanı'na gelen S.R'nin (58) durumundan şüphelenerek üstünde arama yaptı. Bir suç unsuruna rastlanmayan S.R, şüpheli hareketlerinin sürmesi üzerine hastaneye götürülüp tomografi cihazıyla kontrol edildi.

İran uyruklu S.R'nin midesinde tespit edilen 49 paketteki 775 gram saf eroin endoskopiyle alındı.
Hastanedeki tedavisinin ardından Adana Adli Tıp Biriminde sağlık kontrolünden geçirilen S.R, çıkarıldığı nöbetçi sulh ceza hakimliğince tutuklandı.
ADANA/AA
İlgili Haberler
